Gigi Ooooh Gigi..........
Mmmm ari nie... aku de appointment gan Dr gigi kat Klinik Kerajaaan Cahaya Suria, dekat gan pudu. Dah lama
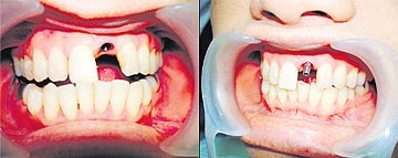
tertangguh... hampir 6 bulan. Klu ikutkan bulan 8 tahun lepas. Tapi aku kena pi Kursus BTN tu yang aku tak dapat nak pi. Then dapat tarikh baru bulan 12 alih-alih kena tukar jadi rini. FYI aku nie kena rujuk dengan pakar Periodontik sbb masalah gigi aku nie dah serius, pakar periodontik dalam bahasa yang senang ialah pakar gusi.. Masuk kali nie aku dah datang hampir 5 kali untuk rawat gigi depan aku nie huhuhu ini ler akibatnya sbb takut sgt nak jumpa Dr gigi. Aku memang fobia dari dulu. Tapi sekarang cam dah jadi family aku plak klinik gigi nie huhuhu..... Rawatan gan bahagian Perio nie memang lain dari check gigi yang biasa. Tuhan jew tau bila sakitnya gigi aku nie taim kena cuci dalam2 gusi.. Biasanya, kat sini aku dikenakan rawatan periodontik tanpa pembedahan.termasuk penskaleran dan 'root planing' (suatu cara membersih permukaan akar untuk membuang plak dan kalkulus dari poket periodontal dan melicinkan akar gigi). Pembedahan ini diikuti dengan rawatan tambahan seperti anti microbials yang diperlukan dalam kes-kes biasa. Tapi kali nie, Dr rawat aku dulu mengsyorkan agar gusi aku dibedah untuk dicuci. Kiranya aku punya kalkulus dah masuk ke dalam sampai menyerang tulang utk cengkam gigi aku kat gusi, Tu sbb gigi aku depan dah bergoyang.
Aku sampai klinik dalam kul 10.30 pagi. Aku dimaklumkan akan diberi MC pas bedah nie. So aku memang tak masuk keja rini. Dalam 20min aku dipanggil masuk ke dalam (lg cepat dari klinik swasta... smlm aku punya appointment kul 10.30pagi gak tapi panggil masuk kul 11.30 pagi bullehhh???bayar jew mahal ). Rupanya Dr lain plak yang akan rawat aku. Dr Haslinda namanya.... Lembut and friendly orangnya. Pas dia tgk gigi aku nie... dia ckp dia tak sure nak bedah ke tak. Dia rujuk dengan sorang pakar Perio yang lagi senior tapi aku xtau nama bha... Ke dalaman pocket gigi aku di check then didapati dalam 9mm (normal 3mm sahaja). Gambar gigi aku pun kena ambik gak. Pas tu Dr tu bagi tau yang gigi depan aku nie dah serius. Klu diberi markah antara Good, Moderate, Poor and Very Poor dia kasi antara Poor and Very Poor bha... sob2 sedih ku dengarnya.. Dia tak suggest utk aku bedah sbb akan sampai masa gigi aku tu akan jatuh gak. Tah2 taim bedah untuk cuci nanti pun leh tercabut. Dia mengesyorkan agar gigi aku dicabutt bha.... waaaaaa aku tak sanggup bila mendengarnya. Bagaikan halilintar membelah bumi, bagai tsunami melanda Achec sob3 terlebih sudah hehehehe.... Dr tu cakap lagi tulang yang pegang gigi aku tu dah tak ada sebab tu gigi depan aku dah goyang. Bila cabut nanti terus aku dapat gigi palsu yang baru kat depan tu. Rawatan susulan akan dibuat and ada beberapa cara yang Dr tu suggestkan.

Pertama Bridge.....
Fuhhh cam korang tengak gambar kat atas. Klu nak gunakan rawatan nie. Gigi diantara gigi yang rosakkan tu akan digunakan sebagai satu soket untuk diletakkan gigi yang baru. So klu cam tu dua gigi kita yang sehat akan menjadi korban utk pastikan gigi tu melekat kukuh. Apa lagi gigi dua tu akan dikikis and diasah untuk sesuai ngan soketnya nnt.. Korang bayang ler gigi kita kena kikis. Ingat tak sakit ke... sakit ooooooo............... Aku tak sanggup bha.. Klu korang nak paham lagi pasal rawatan bridge masuk link yang aku kasi nie... Klik Sini
Kedua Rawatan Implant...
Ini kaedah yang terbaik sekali and disyorkan oleh Dr gigi laki tu kat aku.. Dr tu cakap pas gigi aku tu kena cabut aku terpaksa ler kena pakai gigi palsu dalam masa lebih kurang 6 bulan. Dia akan adakan satu sesi rawatan untuk membina balik tulang gigi yang baru untuk aku. pastu baru ler implant akan di pasang. Nak tau lebih lanjut Klik Disini
Aku tak tau nak cakap camner.. aku terus jew ckp cabut jew ler Dr...huhh sob2... So rawatan implant yang aku pilih.. Pastu nurse sebelah tu tanya aku. Tau tak berapa kos rawatan nanti??? aku cakap ler tak tau.. dalam RM 4k hingga 5k... Mak datuk mampuih aku nak cari duit waaaaa....
So hari ni apa yang aku kena rawat cuma aku cuci gigi jew. Lain2 kena ambik acuan gigi and warna gigi palsu aku nanti. The next rawatan 21hb Feb nanti untuk cabutan. Aku pun tak sure lagi ngan keputusan aku nie. Aku rase aku nak pi klinik tu balik nak bincang dengan Dr yang berkenaan pasal rawatan susulan aku nie. Lagi2 ler pasal harga rawatan implant yang aku kena nnt. Klu dalam RM 2k - 3k leh aku gigih lagi... Hmmm entah ler.. Yang nyata aku memang tak dapat MC rini. Dah ler tak datang keja alih2 surgery tak jadi plak. Terpaksa ler sok aku wat EL. Mesti bos aku tu bising bosan plak aku.
Moral of the story korang selalu ler pi jumpa Dr gigi nie. Jgn jadi cam aku dah teruk baru ler aku nak jumpa. Fobia2 pun skrg aku dah jadi penghuni tetap kat klinik gigi bahagian periodontik nie.
tertangguh... hampir 6 bulan. Klu ikutkan bulan 8 tahun lepas. Tapi aku kena pi Kursus BTN tu yang aku tak dapat nak pi. Then dapat tarikh baru bulan 12 alih-alih kena tukar jadi rini. FYI aku nie kena rujuk dengan pakar Periodontik sbb masalah gigi aku nie dah serius, pakar periodontik dalam bahasa yang senang ialah pakar gusi.. Masuk kali nie aku dah datang hampir 5 kali untuk rawat gigi depan aku nie huhuhu ini ler akibatnya sbb takut sgt nak jumpa Dr gigi. Aku memang fobia dari dulu. Tapi sekarang cam dah jadi family aku plak klinik gigi nie huhuhu..... Rawatan gan bahagian Perio nie memang lain dari check gigi yang biasa. Tuhan jew tau bila sakitnya gigi aku nie taim kena cuci dalam2 gusi.. Biasanya, kat sini aku dikenakan rawatan periodontik tanpa pembedahan.termasuk penskaleran dan 'root planing' (suatu cara membersih permukaan akar untuk membuang plak dan kalkulus dari poket periodontal dan melicinkan akar gigi). Pembedahan ini diikuti dengan rawatan tambahan seperti anti microbials yang diperlukan dalam kes-kes biasa. Tapi kali nie, Dr rawat aku dulu mengsyorkan agar gusi aku dibedah untuk dicuci. Kiranya aku punya kalkulus dah masuk ke dalam sampai menyerang tulang utk cengkam gigi aku kat gusi, Tu sbb gigi aku depan dah bergoyang.![]() |
| Pocket dan Tulang |

Pertama Bridge.....
Fuhhh cam korang tengak gambar kat atas. Klu nak gunakan rawatan nie. Gigi diantara gigi yang rosakkan tu akan digunakan sebagai satu soket untuk diletakkan gigi yang baru. So klu cam tu dua gigi kita yang sehat akan menjadi korban utk pastikan gigi tu melekat kukuh. Apa lagi gigi dua tu akan dikikis and diasah untuk sesuai ngan soketnya nnt.. Korang bayang ler gigi kita kena kikis. Ingat tak sakit ke... sakit ooooooo............... Aku tak sanggup bha.. Klu korang nak paham lagi pasal rawatan bridge masuk link yang aku kasi nie... Klik Sini
Kedua Rawatan Implant...
Ini kaedah yang terbaik sekali and disyorkan oleh Dr gigi laki tu kat aku.. Dr tu cakap pas gigi aku tu kena cabut aku terpaksa ler kena pakai gigi palsu dalam masa lebih kurang 6 bulan. Dia akan adakan satu sesi rawatan untuk membina balik tulang gigi yang baru untuk aku. pastu baru ler implant akan di pasang. Nak tau lebih lanjut Klik Disini Aku tak tau nak cakap camner.. aku terus jew ckp cabut jew ler Dr...huhh sob2... So rawatan implant yang aku pilih.. Pastu nurse sebelah tu tanya aku. Tau tak berapa kos rawatan nanti??? aku cakap ler tak tau.. dalam RM 4k hingga 5k... Mak datuk mampuih aku nak cari duit waaaaa....
So hari ni apa yang aku kena rawat cuma aku cuci gigi jew. Lain2 kena ambik acuan gigi and warna gigi palsu aku nanti. The next rawatan 21hb Feb nanti untuk cabutan. Aku pun tak sure lagi ngan keputusan aku nie. Aku rase aku nak pi klinik tu balik nak bincang dengan Dr yang berkenaan pasal rawatan susulan aku nie. Lagi2 ler pasal harga rawatan implant yang aku kena nnt. Klu dalam RM 2k - 3k leh aku gigih lagi... Hmmm entah ler.. Yang nyata aku memang tak dapat MC rini. Dah ler tak datang keja alih2 surgery tak jadi plak. Terpaksa ler sok aku wat EL. Mesti bos aku tu bising bosan plak aku.
Moral of the story korang selalu ler pi jumpa Dr gigi nie. Jgn jadi cam aku dah teruk baru ler aku nak jumpa. Fobia2 pun skrg aku dah jadi penghuni tetap kat klinik gigi bahagian periodontik nie.



hyun jgn lupe follow blog aku..
ReplyDeleteudah pollow pun
ReplyDeletexde pon..ko ada klik button follow tak kat blog aku tu?
ReplyDeletepollow ler xpe nnt aku tgk lik
ReplyDeleteok dah nampak dah muka bang remy..hahahhahahaha
ReplyDeleteApa jadi dengan gigig skrg? Dah implant?
ReplyDeleteApa jadi dengan gigig skrg? Dah implant?
ReplyDeleteSo the end ambik bridge ke implant???
ReplyDelete